All-On-4 Dental Implants in Annapolis, MD
Restore Your Smile with a Doctor-Led, Fully Customized All-On-4 Solution
At Djawdan Center for Implant and Restorative Dentistry, every full-arch case is carefully planned and executed by the doctor from start to finish — with a focus on function, aesthetics, and results that last.
Most Experienced Full Arch Doctor in Annapolis, MD
Dr. Djawdan has built his reputation on one core principle: do it right the first time — with quality that lasts.
Full-arch dental implants are one of the most complex procedures in dentistry. They require not only advanced technology, but also a high level of clinical judgment, experience, and long-term planning.
Because of this expertise, Dr. Djawdan is often trusted by both patients and legal professionals to evaluate complex cases — including situations where treatment performed elsewhere has failed or cannot be properly restored. Many patients come to the Djawdan Center after being referred for a second opinion when other providers are unable to correct the issues.
At The Djawdan Center, the focus is never on shortcuts or volume. It’s on precision, durability, and outcomes that patients can trust for years to come.
Not All Full-Arch Implant Centers Are the Same
Djawdan Center vs. Typical Implant Centers
Who You See
Djawdan Center:
- You meet directly with the doctor from day one
- The same doctor plans, places, and restores your implants
Others:
- Initial consult with a sales or treatment coordinator
- Multiple providers involved, less continuity
Treatment Philosophy
Djawdan Center:
- Focus on long-term success and precision
- Personalized, case-by-case planning
Others:
- High-volume, standardized approach
- Focus on speed over customization
In-House Lab
Djawdan Center:
- Fully equipped, true in-office lab
- Everything designed and refined on-site
Others:
- Design often outsourced (sometimes overseas)
- Limited control over final product
Quality of Materials
Djawdan Center:
- Premium, high-end materials sourced internationally
- Chosen for durability and aesthetics
Others:
- Lower-cost materials often used
- Limited transparency on sourcing
Craftsmanship
Djawdan Center:
- Hand-refined prosthetics for natural look
- Detailed shaping, staining, and finishing
Others:
- Machine-produced results
- Less attention to aesthetics and detail
Clinical Expertise
Djawdan Center:
- Advanced clinical judgment and experience
- Handles complex and corrective cases
Others:
- Limited experience with full-arch cases
- Higher risk of complications
Treatment Process
Djawdan Center:
- Leave with fixed teeth the same day
- Designed as a “trial smile” for customization
Others:
- Rushed “teeth in a day” approach
- Limited ability to refine final outcome
Long-Term Care
Djawdan Center:
- Ongoing support, maintenance, and follow-up
- Relationship-focused care
Others:
- Minimal follow-up
- Transactional care model
Trust & Accountability
Djawdan Center:
- Doctor-owned, reputation-driven care
- We stand behind every case
Others:
- Corporate or high-turnover environments
- Less accountability
The Full-Arch Implant Process
Step 1: Consultation & Diagnosis
Every case begins with a comprehensive, doctor-led evaluation. We assess your bone structure, bite, and overall oral health to create a personalized treatment plan.
Step 2: Surgical Planning
Your implants are planned with the final result in mind — ensuring proper positioning, function, and long-term success.
Step 3: Implant Placement
Implants are placed in a controlled surgical environment, with sedation available for comfort and precision.
Step 4: Same-Day Temporary Teeth
You leave with fixed temporary teeth the same day — designed as a “trial smile” to guide your final result.
Step 5: Custom Design & Materials
Your final restoration is crafted using premium materials and refined for natural appearance and durability.
Step 6: Finalization & Long-Term Care
After healing, your final teeth are placed and adjusted — with ongoing support to maintain your results for years to come.
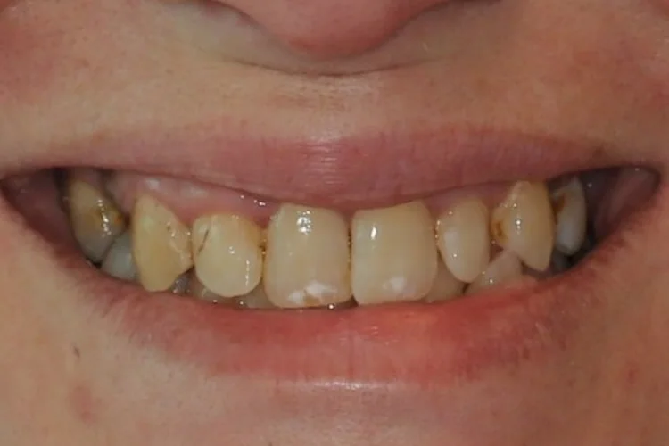
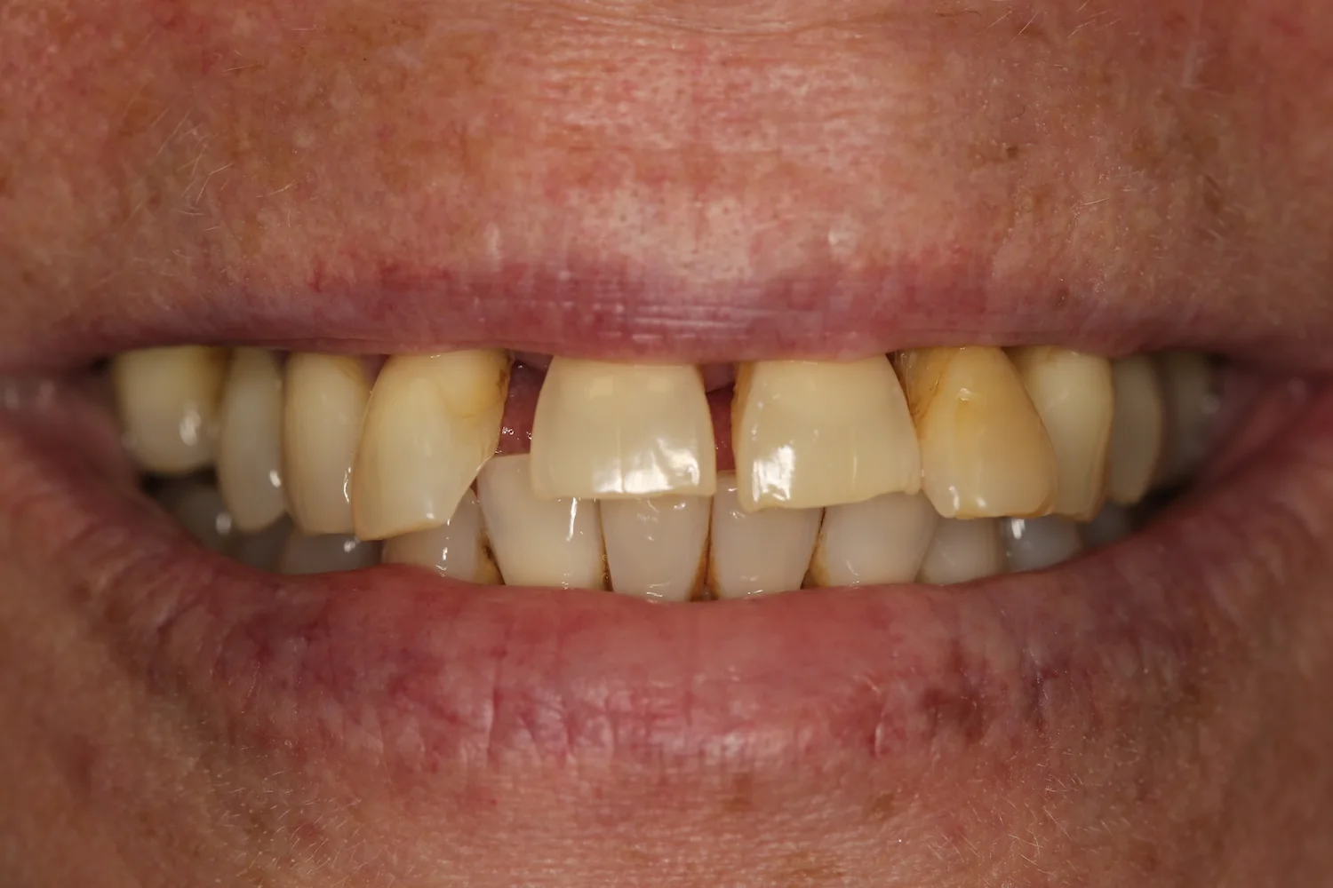
Full-Arch Transformations







Free Second Opinions
Choosing full-arch dental implants is a major decision — and it’s important to get it right.
Dr. Djawdan offers complimentary second opinions as part of his commitment to the Annapolis community, where he has been a trusted provider for over 30 years. His goal is to ensure patients fully understand their options before moving forward.
With extensive training and experience in full-arch treatment, Dr. Djawdan is often consulted in complex cases — including situations where treatment performed elsewhere did not go as planned. This level of expertise allows him to evaluate not just what is being recommended, but whether it has been planned correctly.
Full-arch cases require precise clinical judgment. When key details are overlooked, patients may face long-term complications or the need for corrective treatment. A second opinion provides clarity, confidence, and a deeper understanding of what’s right for your specific case.
Our Materials
The materials used in full-arch dental implants play a critical role in how your final result looks, feels, and performs over time. At Djawdan Center for Implant and Restorative Dentistry, material selection is a key part of our process — not an afterthought.
Premium Zirconia
We use high-end zirconia materials selected for their strength, durability, and natural appearance.
Natural Aesthetics
Each restoration is carefully refined to mimic the color, texture, and light reflection of natural teeth.
Long-Term Performance
Our materials are chosen to withstand daily function and provide reliable results for years to come.
All-on-4, All-on-6, All-on-X… What Does It All Mean?
You may have seen several different names for full-arch dental implants, including:
- All-on-4
- All-on-6
- All-on-X
- Full-Arch Dental Implants
- Full Mouth Dental Implants
- Teeth in a Day
While these terms may sound different, they are all referring to the same general concept.
What’s the Difference?
The main difference comes down to how many implants are used to support the new set of teeth.
- All-on-4: Typically uses 4 implants
- All-on-6: Uses 6 implants
- All-on-X: A flexible approach — the number of implants is customized based on your specific case
Not every patient is the same — and the number of implants used should never be “one-size-fits-all.”
These labels are often used in marketing, but what truly matters is:
- Proper planning
- Precise implant placement
- High-quality materials
- Long-term success
At the Djawdan Center, we focus on delivering a custom full-arch solution — not forcing your case into a pre-set formula.
Cost & Financing
Full-arch dental implants are a long-term investment in your health, function, and quality of life. Because every case is different, treatment is fully customized — and so is the cost.
At Djawdan Center for Implant and Restorative Dentistry, we use an all-inclusive approach, so you have a clear understanding of your treatment from the very beginning.
- Personalized Treatment Costs: Your treatment plan is tailored to your specific needs, goals, and clinical situation — no one-size-fits-all pricing.
- All-Inclusive Approach: Our fees are designed to cover every phase of your treatment, helping you avoid unexpected costs along the way.
- Flexible Financing Options: We offer financing solutions that allow you to break your investment into manageable monthly payments.
As a fee-for-service practice, we do not accept or bill insurance. Our team will guide you through all available payment and financing options during your consultation.
Frequently Asked Questions
Answers to Common Questions About Full-Arch Dental Implants
Am I a candidate for All-On-4 dental implants?
Most patients with missing or failing teeth can be candidates for full-arch dental implants. The best way to determine this is through a comprehensive consultation, where your bone structure, oral health, and treatment goals are carefully evaluated.
How long does the process take?
The full-arch implant process is completed in multiple phases. You will typically leave with fixed temporary teeth the same day as surgery, while your final restoration is completed after a healing and refinement period.
Will my new teeth look natural?
Yes. Every case is customized to match your facial structure, bite, and aesthetic preferences. The goal is to create a result that looks natural, balanced, and unique to you.
Is the procedure painful?
Patient comfort is a priority. Sedation options are available during the procedure, and most patients report minimal discomfort during recovery.
How much do full-arch dental implants cost?
The cost varies depending on your specific case, including the number of implants, materials used, and any additional procedures. A detailed treatment plan and cost breakdown are provided during your consultation.
Does insurance cover this treatment?
As a fee-for-service practice, we do not accept or bill insurance. Our team will guide you through available financing options to help make treatment more manageable.
Still have questions? We’re here to help.
Take the Next Step Toward a New Smile
Choosing full-arch dental implants is an important decision — and selecting the right provider makes all the difference.
At Djawdan Center for Implant and Restorative Dentistry, every case is approached with precision, experience, and a commitment to long-term success.